Case Study #7
March 2026 - 53 year old female
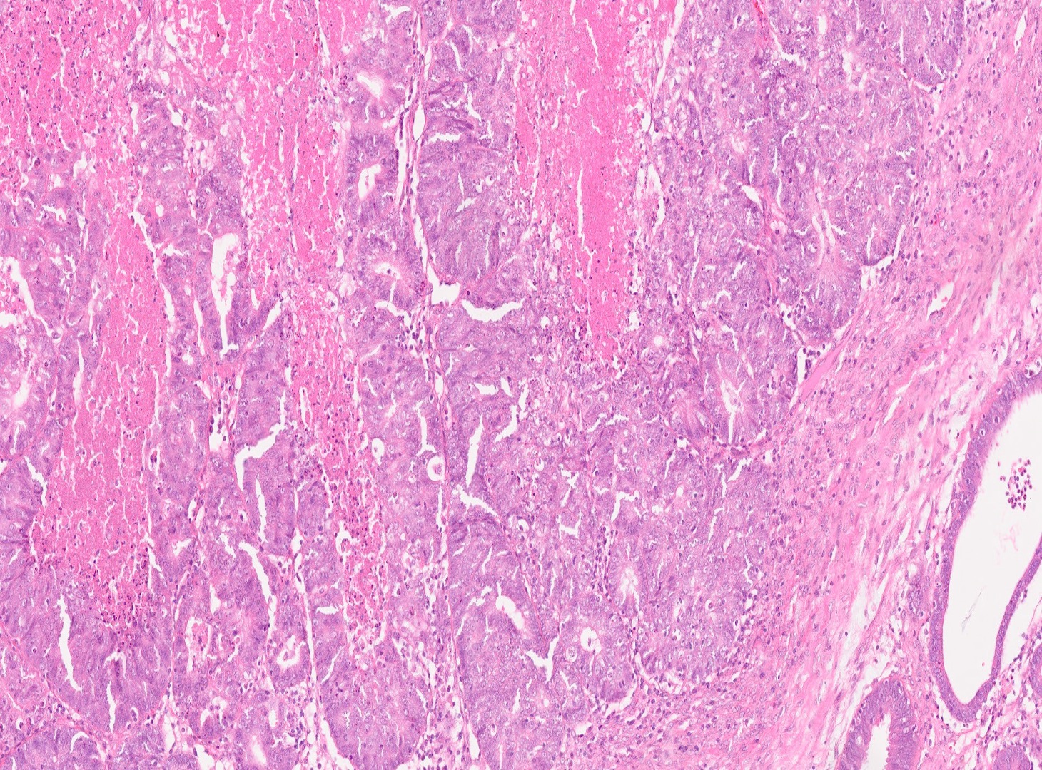
The patient, a 53 year old type-2 diabetic postmenopausal female, reports noticing intermittent vaginal spotting over the past two months. The bleeding is not heavy but occurs several times a week and is usually unrelated to any activity. She has not experienced pelvic pain but mentions feeling more fatigued lately. No fevers, weight loss, or gastrointestinal symptoms.
The clinical impression is postmenopausal vaginal bleeding in a woman with significant risk factors for endometrial pathology, including obesity and a history of PCOS. There is a high index of suspicion for endometrial hyperplasia or carcinoma.
A transvaginal ultrasound highlights a thickened, heterogeneous endometrium measuring 12 mm in a postmenopausal woman, concerning for endometrial pathology. Findings are nonspecific but may represent endometrial hyperplasia or carcinoma.
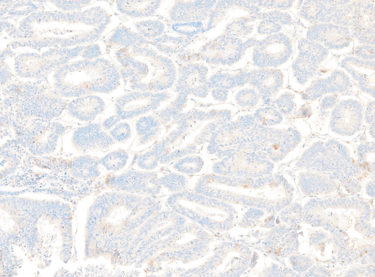
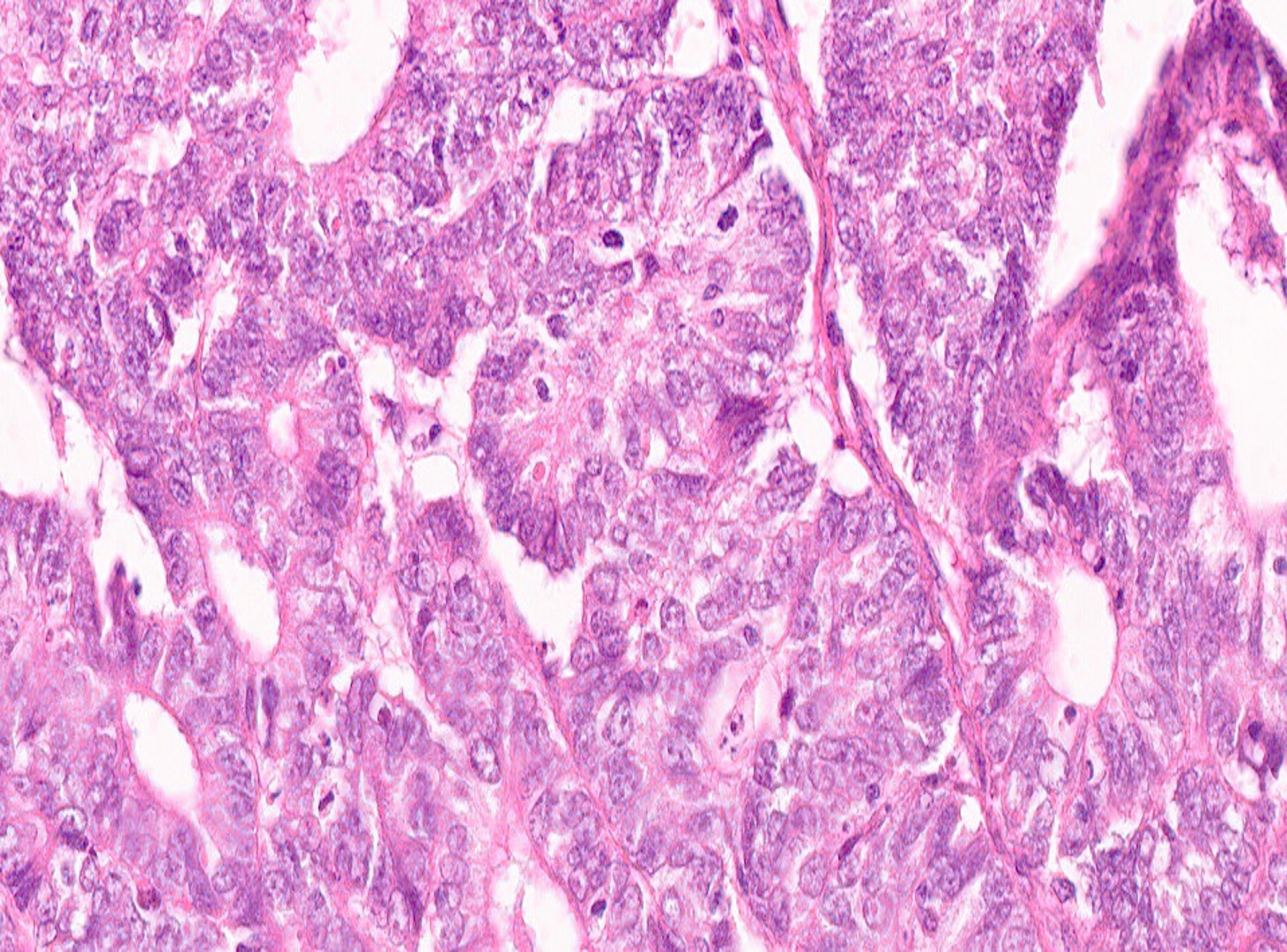
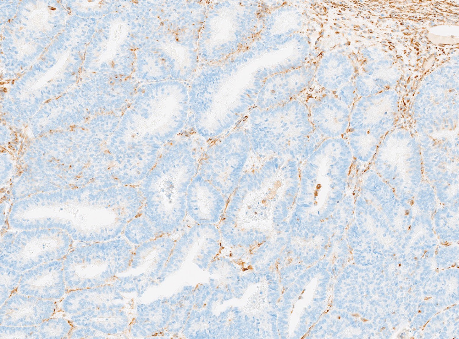
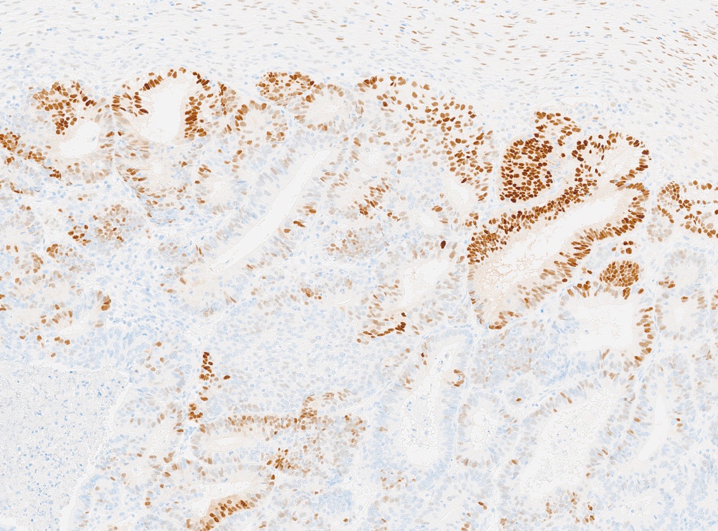
A biopsy of the tissue was taken.
What is the diagnosis?
Breast/GYN Pathology